LUN, MAR: 9-19 | MER 14-19 | GIO 9-19 | VEN 9-17 | SAB 10-17 | DOM CHIUSO

LUN, MAR: 9-19 | MER 14-19 | GIO 9-19 |VEN 9-17 | SAB 10-17 | DOM CHIUSO

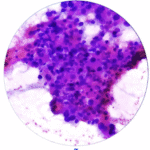
Citologia

La citologia è uno strumento diagnostico utilizzato per esaminare le cellule ottenute da un animale, per identificare patologie, infezioni, infiammazioni e altri problemi di salute.
La citologia è uno strumento diagnostico utilizzato per esaminare le cellule ottenute da un animale, per identificare patologie, infezioni, infiammazioni e altri problemi di salute. Questo esame permette di analizzare i campioni di cellule, per esempio ottenuti tramite agoaspirato o raschiatura, per determinare la loro natura e la presenza di cellule anomale.

Grazie ad Imagyst, il nostro microscopio digitale con intelligenza artificiale, abbiamo la possibilità di far analizzare i campioni citologici a patologi qualificati ed ottenere un referto anche in poche ore.